04 يناير 2026, 3:40 مساءً
نجح فريق طبي متخصص في وحدة جراحة أورام العظام بمدينة الملك سلمان الطبية بالمدينة المنورة في إجراء عملية معقدة أسهمت في إعادة الحركة للطرف العلوي لمستفيدة تبلغ من العمر 53 عامًا.
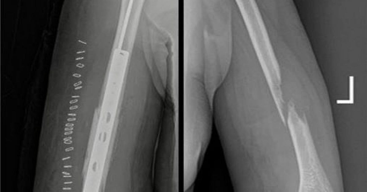
وكانت المريضة قد وصلت إلى المستشفى الرئيسي وهي تعاني من ورم سرطاني تسبب في تآكل جزء من عظمة العضد الأيمن، ما أدى إلى ضعف شديد في حركة اليد وقيود كبيرة في أداء المهام اليومية.
وأوضح "تجمع المدينة المنورة الصحي" أن الحالة جرى تشخيصها بدقة باستخدام أشعة الرنين المغناطيسي، وأُكد التشخيص من خلال خزعة نسيجية، مبينًا أن خطورة الحالة وحساسيتها تطلبت تدخلاً جراحيًا عالي الدقة.
وتمكّن الفريق الطبي من استئصال الجزء المتآكل من العظم، وإعادة بناء الفراغ باستخدام إسمنت طبي ومتثبتات معدنية، مع الحفاظ التام على الأعصاب والشرايين الرئيسية دون أي ضرر.
وأشار التجمع إلى أن المريضة تماثلت للشفاء وأصبحت قادرة على استخدام يدها بشكل طبيعي، بعد أن كانت تعاني من شبه شلل، مؤكدًا أن هذا الإنجاز يُعد إضافة نوعية في سجل النجاحات الطبية بالمنطقة، ويعكس جاهزية وكفاءة الكوادر الصحية في تقديم رعاية متقدمة وفق أعلى المعايير.
ملحوظة: مضمون هذا الخبر تم كتابته بواسطة صحيفة سبق الإلكترونية ولا يعبر عن وجهة نظر مصر اليوم وانما تم نقله بمحتواه كما هو من صحيفة سبق الإلكترونية ونحن غير مسئولين عن محتوى الخبر والعهدة علي المصدر السابق ذكرة.
