01 نوفمبر 2025, 6:43 مساءً
في توضيح علمي لافت، كشف البروفيسور أحمد بن سالم باهمام، أستاذ واستشاري الأمراض الصدرية وطب النوم بكلية الطب والمدينة الطبية في جامعة الملك سعود، عن نتائج دراسة حديثة توضّح تأثير الحرمان من النوم على الدماغ وصحة الإنسان العامة.
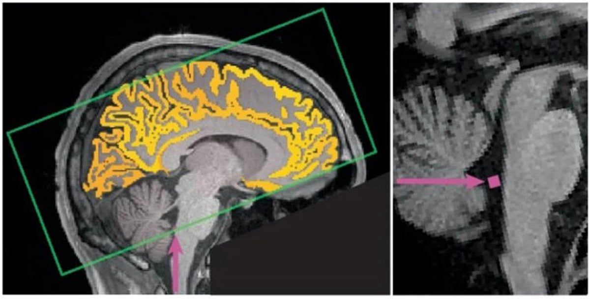
وأوضح "باهمام" في تدوينة عبر حسابه على منصة إكس، أنه عند قلة النوم تظهر لدى الإنسان فترات من ضعف الانتباه والتركيز، وخلالها يقوم الدماغ بدفع السائل الدماغي الشوكي إلى الخارج في محاولةٍ للتخلص من السموم، وهي عملية تحدث عادة أثناء النوم فقط.
وأضاف أن الجسم يحاول تعويض نقص النوم، إلا أن هذا التعويض يكون على حساب جودة الانتباه، ما يؤدي إلى تكرار حالات السرحان وفقدان التركيز.
وأشار إلى أن العلماء رصدوا أيضًا تغييرات جسدية واضحة خلال تلك اللحظات، منها تباطؤ نبضات القلب وضيق حدقة العين، ما يؤكد وجود تنسيق معقد بين الدماغ والجسم عند الحرمان من النوم.
وختم البروفيسور "باهمام" حديثه بالتأكيد على أن النوم الجيد ليس رفاهية، بل ضرورة أساسية للمحافظة على صحة الدماغ والانتباه وحمايته من تراكم السموم، داعيًا إلى الحرص على نمط نوم منتظم لتحقيق يقظة وصحة أفضل.
ملحوظة: مضمون هذا الخبر تم كتابته بواسطة صحيفة سبق الإلكترونية ولا يعبر عن وجهة نظر مصر اليوم وانما تم نقله بمحتواه كما هو من صحيفة سبق الإلكترونية ونحن غير مسئولين عن محتوى الخبر والعهدة علي المصدر السابق ذكرة.
