رياضة00

احتفل الفرنسي كريم بنزيمة الجمعة بـ«الهاتريك» الخامس في مسيرته ...
المزيد ...
رياضة00

انتقد الملاكم البريطاني السابق نسيم حميد الملقب بـ«الأمير» فيلماً ...
المزيد ...
رياضة00

يستعد المنتخب الجزائري لخوض مباراة صعبة في ربع نهائي ...
المزيد ...
رياضة00

في خطوة استراتيجية تُعزّز مكانة أبوظبي وجهةً عالميةً للرياضات ...
المزيد ...
منوعات00

اكتشف باحثون برازيليون، من معهد بوتانتان في ساو باولو، ...
المزيد ...
منوعات00

كشفت دراسة حديثة أجراها باحثون بريطانيون من كلية لندن ...
المزيد ...
منوعات00

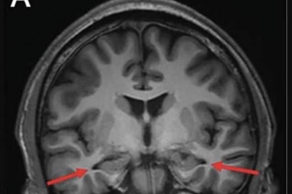
أعلن باحثون صينيون من جامعة كابيتال الطبية، عن تشخيص ...
المزيد ...
منوعات00

رفضت محكمة العدل في مقاطعة ألبرتا الكندية دعوى مدنية ...
المزيد ...
منوعات00

حجبت إندونيسيا،السبت، مؤقتاً روبوت الدردشة «جروك» التابع لإيلون ماسك ...
المزيد ...
منوعات00

قالت وكالة الفضاء الأمريكية (ناسا) إنها وشركة «سبيس إكس» ...
المزيد ...
منوعات00

قالت مؤسسة دار أوبرا واشنطن الوطنية أنها ستغادر مركز ...
المزيد ...
منوعات00

طور باحثون أمريكيون من شركة ويستيك غلوبال، تقنية أطلق ...
المزيد ...