محافظات / اليوم السابع

جراحة نادرة تنقذ حياة طفل من فتق بالحجاب الحاجز بمستشفى زاوية الناعورة

المنوفية - محمد فتحى

الخميس، 23 أكتوبر 2025 05:47 م

فى إنجاز طبى جديد يُضاف إلى سجل النجاحات المتميزة لقطاع الصحة بالمنوفية، نجح الفريق الجراحى بمستشفى زاوية الناعورة المركزى بقيادة الدكتور مجدى لولح والفريق المعاون له تحت إشراف الدكتور إسلام الفقى مدير المستشفى، فى إجراء عملية نادرة لإصلاح فتق بالحجاب الحاجز من نوع بوكدالك فى الجهة اليمنى، وهى من الحالات شديدة الندرة التى لا تتجاوز نسبتها عالميًا 10–15% من إجمالى حالات الفتق الحجابى الخلقى،تنفيذًا لتوجيهات الدكتور خالد عبد الغفار نائب رئيس مجلس الوزراء ووزير الصحة والسكان و اللواء إبراهيم أبو ليمون محافظ المنوفية بتقديم خدمات صحية ذات جودة عالية تلبى احتياجات المواطنين وتنفيذًا لتعليمات الدكتور عمرو مصطفى محمود وكيل بالمنوفية بالإرتقاء بمستوى الخدمات الطبية المقدمة للمواطنين بجميع أنحاء المحافظة.

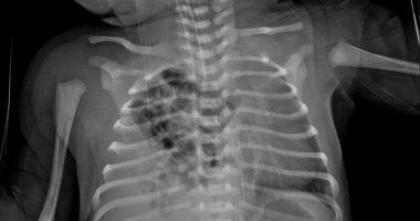
وخلال العملية الدقيقة، تبيّن وجود الفص الأيمن من الكبد داخل التجويف الصدرى إلى جانب الأمعاء الدقيقة والغليظة، مما تسبب فى ضغط على الرئة اليمنى.

قام الفريق الطبى بإرجاع جميع الأعضاء إلى وضعها الطبيعى داخل تجويف البطن، ثم إصلاح الفتق بخيوط غير قابلة للذوبان من نوع "إيثيبوند" لضمان المتانة واستقرار الحالة.

كما لاحظ الجراحون وجود التصاقات وأغشية تليفية من نوع "لادز" أدت إلى التواءات بالأمعاء، فتم التعامل معها بتقنية إصلاح لادز الجراحية، والتى شملت إزالة الأغشية التليفية، وإعادة ترتيب الأمعاء الدقيقة إلى الجهة اليمنى والقولون إلى الجهة اليسرى، مع استئصال الزائدة الدودية كإجراء وقائي.

وأكد الدكتور إسلام الفقى أن العملية تمت بنجاح كامل، والحالة الآن مستقرة وتحت الملاحظة الدقيقة بوحدة الرعاية، مشيرًا إلى أن هذا النجاح يعكس كفاءة وتميز الفريق الجراحى بالمستشفى، ودعم مديرية الشؤون الصحية بالمنوفية لتطوير الخدمات الجراحية الدقيقة بالمستشفيات المركزية.

حيث أن الفتق الحجابى الخلقى يُعد من الحالات النادرة، إذ يحدث بمعدل يتراوح بين 1 لكل 2500 إلى 4000 ولادة حية، وتُشكل فتوق بوكدالك نحو 85–90% منها، بينما تقع الحالات فى الجهة اليمنى بنسبة صغيرة جدًا لا تتجاوز 10–15%.

وجه الدكتور عمرو مصطفى محمود وكيل وزارة الصحة تحية تقدير للفريق الطبى بمستشفى زاوية الناعورة المركزى على هذا النجاح الذى يُجسد التميز والجاهزية الطبية فى خدمة أبناء المنوفية.

ملحوظة: مضمون هذا الخبر تم كتابته بواسطة اليوم السابع ولا يعبر عن وجهة نظر مصر اليوم وانما تم نقله بمحتواه كما هو من اليوم السابع ونحن غير مسئولين عن محتوى الخبر والعهدة علي المصدر السابق ذكرة.

قد تقرأ أيضا