رياضة00

الزمالك بالزي التقليدي وديكيداها باللون اللبني في مباراة الغد بالكونفدرالية...
المزيد ...
رياضة00

اتحاد الكرة: كل الدعم لممثلي مصر في جوائز الاتحاد الأفريقي للأفضل 2025...
المزيد ...
رياضة00

حبيبة عصام ومهيرة على يقودان تشكيل منتخب السيدات أمام غانا بتصفيات أفريقيا...
المزيد ...
اقتصاد00

لو مهتم بالذهب.. اعرف سعر الجرام عيار 21 فى مصر سجل كام 'لو مهتم بالذهب.. اعرف سعر الجرام عيار 21 فى مصر سجل كام'
المزيد ...
اقتصاد00

6365 جنيهًا للجرام عيار 24.. سعر الذهب اليوم الخميس 23-10-2025...
المزيد ...
محافظات00

محافظ كفر الشيخ: تسهيلات غير مسبوقة للجادين وإزالة معوقات التقنين لتسهيل الإجراءات...
المزيد ...
محافظات00

رئيس مدينة الطود يتابع انتظام سير العمل بمصنع تعبئة البوتاجاز.. صور...
المزيد ...
محافظات00

محافظ الدقهلية يتفقد حركة انتظام السيارات بمدينة المنصورة 'محافظ الدقهلية يتفقد حركة انتظام السيارات بمدينة المنصورة'
المزيد ...
محافظات00

محافظ المنيا يُعلن عن خطة للترويج لافتتاح المتحف المصرى الكبير...
المزيد ...
محافظات00

10 سنوات من الشغف تقود الطالبة تغريد محمد لصدارة تحدى القراءة العربى فى مصر...
المزيد ...
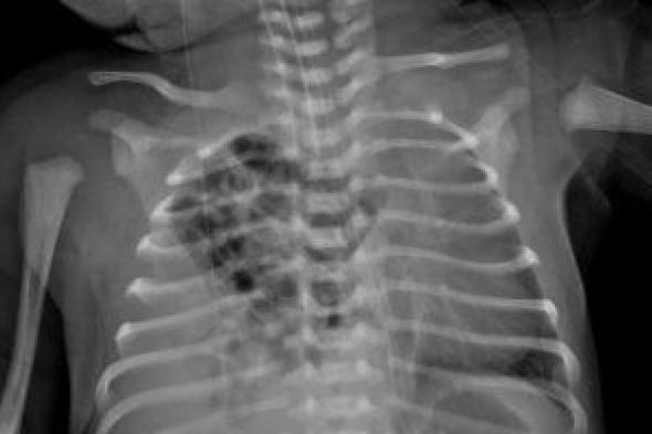
محافظات00

جراحة نادرة تنقذ حياة طفل من فتق بالحجاب الحاجز بمستشفى زاوية الناعورة...
المزيد ...
محافظات00

مديرية تعليم كفر الشيخ تشيد بفوز سحر عبد الفتاح بلقب المشرف المتميز عربيا...
المزيد ...