السعودية00

5
آلاف
ريال
متوسط
إنفاق
السائح
الأجنبي
في
السعودية
عام
2025
المزيد ...
السعودية00

شاهد
..
"مسلّية"
ينطلق
من
حي
الظويهرة
التاريخي
بتجارب
تفاعلية
تربط
الأطفال
بتراث
الدرعية
الأصيل
المزيد ...
السعودية00

ابتكار
إيصالات
وفواتير
آمنة
خالية
من
المواد
الكيميائية
المسرطنة
المزيد ...
السعودية00

شاهد
..
إنفوجرافيك
يشرح
خصائص
بنزين
91
و95
و98
للمستهلكين
المزيد ...
السعودية00

بعد
أن
أحكمت
قوات
درع
الوطن
السيطرة
الميدانية
عليها
..
الخنبشي
يباشر
مهام
إدارة
حضرموت
المزيد ...
السعودية00

تقييم
فرق
العمل
في
ضوء
منهجيات
أجايل
(AGILE)
المزيد ...
السعودية00

الفتح
يفسخ
عقد
الكاميروني
إيكامبي
بالتراضي
المزيد ...
السعودية00

وفاة
معلمة
وإصابة
زميلتيها
وطفلها
في
حادث
شرق
حائل
المزيد ...
السعودية00

"إطار
جديد
للتطوع
الإسعافي
داخل
الحرمين
بالشراكة
مع
الهلال
الأحمر"
المزيد ...
السعودية00

فعاليات
شتوية
نابضة
وتجارب
تراثية
تجذب
الزوار
إلى
العُلا
المزيد ...
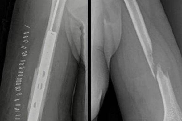
السعودية00

إعادة
حركة
يد
خمسينية
بعد
جراحة
دقيقة
لأورام
العظام
في
المدينة
المزيد ...
السعودية00

فرضية
طوارئ
في
ميناء
الملك
فهد
بالجبيل
تحاكي
تصادم
بين
قطار
محمّل
بمواد
خطرة
ومركبة
المزيد ...