محافظات / اليوم السابع

فريق طبى بمستشفى طهطا العام ينقذ حياة شاب بعد إصابته بجلطة حادة

  • 1/4
  • 2/4
  • 3/4
  • 4/4

سوهاج أحمد عبدالعال

الخميس، 23 أكتوبر 2025 10:22 ص

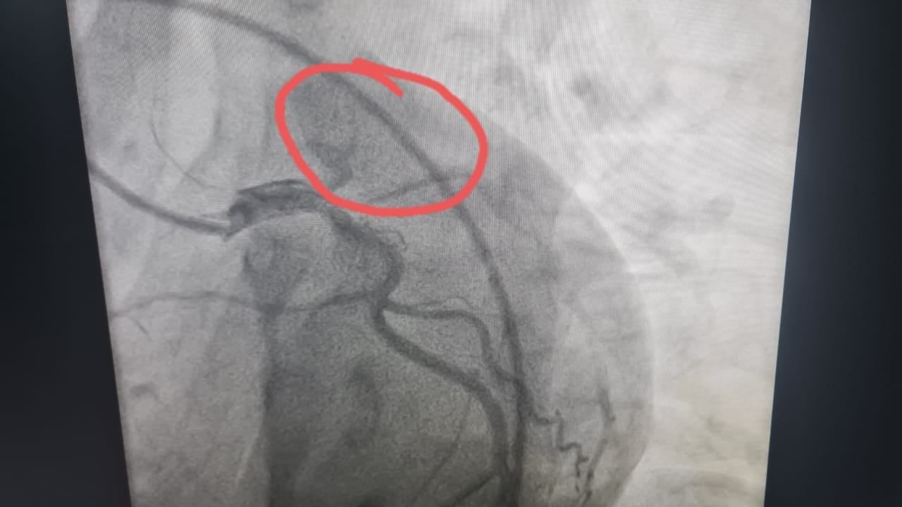
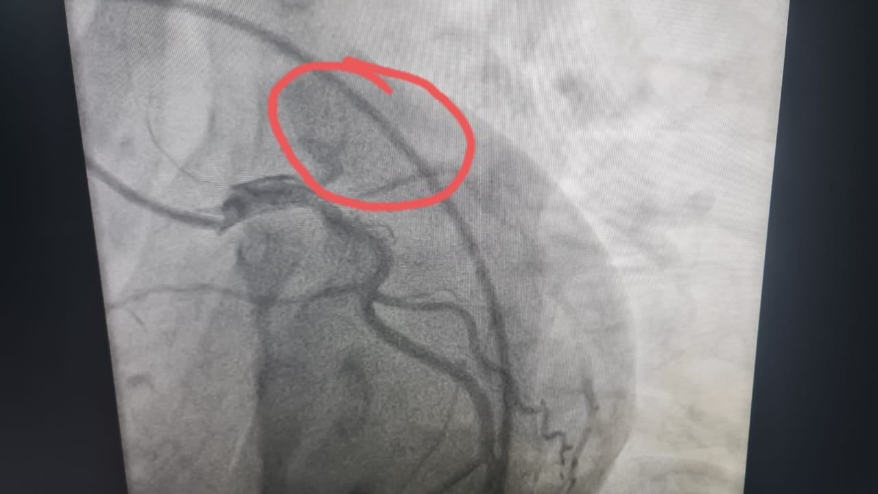
في واقعة طبية نادرة، نجح فريق طبى مساء أمس الأربعاء بوحدة قسطرة القلب بمستشفى طهطا العام  فى إنقاذ حياة شاب يبلغ من العمر 18 عامًا، بعد إصابته بجلطة حادة بالشريان الأمامي الرئيسي للقلب.

 

ضم الفريق كلا من الدكتور مؤمن لطفى استاذ أمراض القلب بجامعة الوادي الجديد، والدكتور عمرو السحلي استشاري القلب ومدير وحدة القسطرة والدكتور عماد قاسم والدكتور مصطفي أبو سنة والدكتور مينا موريس والدكتور المنذر أحمد و الدكتورة فيرينا كرم أطباء القلب بالمستشفي و طاقم الفنيين والتمريض وتحت إشراف الدكتور أحمد زيد مدير المستشفي.

 

وأوضح الدكتور عمرو دويدار، وكيل بسوهاج، أن الشاب حضر إلى المستشفى فى حالة حرجة ومتأخرة نسبياً، وبعد إجراء رسم القلب والفحوصات اللازمة تبين وجود جلطة حادة بالشريان الأمامي — وهي من الحالات النادرة جدًا في هذا العمر علي المستوي العالمي.

 

وأضاف "دويدار" أنه فور الانتهاء من فحص المريض تم العرض علي الفريق الطبي بوحدة قسطرة القلب ، الذى قرر علي الفور إجراء قسطرة قلبية عاجلة لاستكشاف الشرايين التاجية للقلب حيث تبين أن الشريان الأمامي الرئيسي كان مسدودًا بالكامل، وتم فتح الشريان وتركيب دعامة بنجاح تام، واستقرت حالة المريض بعد العملية و يستكمل علاجه بالمستشفى.

 

وأضاف دويدار أن وحدة قسطرة القلب بمستشفى طهطا العام تقدم خدماتها لحالات الجلطات القلبية و أن الحالات الحرجة تتلقى العلاج الطارئ اللازم بالوحدة بشكل مجاني تماماً دون تحمل المريض أى تكلفة مالية ودون أى تأخير.

 

وأكد دويدار أن هذه الحالة تُعد من أندر الحالات المسجلة لجلطات القلب فى هذا العمر، مشيدًا بجهود الفريق الطبى الذى تعامل باحترافية وسرعة لإنقاذ حياة المريض.

الفريق الطبي المعالج
الفريق الطبي المعالج

 

طبي بمستشفى طهطا العام ينقذ حياة شاب
طبي بمستشفى طهطا العام ينقذ حياة شاب
الفريق الطبي
الفريق الطبي

ملحوظة: مضمون هذا الخبر تم كتابته بواسطة اليوم السابع ولا يعبر عن وجهة نظر مصر اليوم وانما تم نقله بمحتواه كما هو من اليوم السابع ونحن غير مسئولين عن محتوى الخبر والعهدة علي المصدر السابق ذكرة.

قد تقرأ أيضا